Guillain Barre Syndrome Mri / Figure 6 From Spinal Mri Findings Of Guillain Barre Syndrome Semantic Scholar - Typically, both sides of the body are involved, and the initial symptoms are changes in sensation or pain often in the back along with muscle weakness, beginning in the feet and hands, often spreading to the arms and upper body.

Guillain Barre Syndrome Mri / Figure 6 From Spinal Mri Findings Of Guillain Barre Syndrome Semantic Scholar - Typically, both sides of the body are involved, and the initial symptoms are changes in sensation or pain often in the back along with muscle weakness, beginning in the feet and hands, often spreading to the arms and upper body.. However, it can reveal nerve root enhancement and may be an effective diagnostic adjunct. Moreover, gbs is also associated with any vaccination. Its signs and symptoms are similar to those of other neurological disorders and may vary from person to person. Cerebral magnetic resonance imaging showed lesions in both frontal and right occipital lobes. Fisher syndrome, a clinical variant of guillain­ barre syndrome characterized by ataxia, are­ flexia, and ophthalmoplegia, brain stem lesions have been described with cranial mr.imaging (8).

Moreover, gbs is also associated with any vaccination. The severity on mri does not correlate with severity of the clinical condition. Immune checkpoint inhibitors (icis) have been increasingly used in the treatment of various types of tumors with favorable results. Fisher syndrome, a clinical variant of guillain­ barre syndrome characterized by ataxia, are­ flexia, and ophthalmoplegia, brain stem lesions have been described with cranial mr.imaging (8). On csf analysis, the cell count is normal in 85% of patients, and high protein values are seen in 64%.

Https Www Pnsociety Com Files Resources 2017 20zika 20and 20gbs 20curr 20opin 20neurol 202017 20epub Pdf
Https Www Pnsociety Com Files Resources 2017 20zika 20and 20gbs 20curr 20opin 20neurol 202017 20epub Pdf from
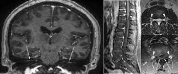
However, it can reveal nerve root enhancement and may be an effective diagnostic adjunct. The severity on mri does not correlate with severity of the clinical condition. Fisher syndrome, a clinical variant of guillain­ barre syndrome characterized by ataxia, are­ flexia, and ophthalmoplegia, brain stem lesions have been described with cranial mr.imaging (8). Its signs and symptoms are similar to those of other neurological disorders and may vary from person to person. Sagittal and axial post contrast t1 fs images shows smooth thickening and abnormal enhancement of the cauda equina and the ventral nerve roots. Moreover, gbs is also associated with any vaccination. Your doctor may then recommend: It is characterized by a triad of ophthalmoplegia, ataxia, and areflexia.

Moreover, gbs is also associated with any vaccination.

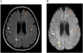
Clinical presentation is usually characterized by rapidly progressive, ascending, and symmetric paralysis of the extremities. Although no abnormalities were observed on brain and spinal magnetic resonance imaging and electroencephalography, peripheral nerve conduction velocity tests failed to evoke motor and sensory nerve action potentials. It is characterized by a triad of ophthalmoplegia, ataxia, and areflexia. Sagittal and axial post contrast t1 fs images shows smooth thickening and abnormal enhancement of the cauda equina and the ventral nerve roots. Scott olson / staff / getty images Moreover, gbs is also associated with any vaccination. Your doctor may then recommend: Mri is sensitive, but nonspecific, for diagnosis. The study findings are published in the journal neurological research. Mr imaging findings in eight patients (three male, five female; Immune checkpoint inhibitors (icis) have been increasingly used in the treatment of various types of tumors with favorable results. The most common result is a weakness and numbness that starts at the tips of the fingers and toes and spreads inward toward the body. Guillain barré syndrome (gbs) is characterized by demyelination and axonal degeneration of peripheral nerves.

Your doctor may then recommend: Moreover, gbs is also associated with any vaccination. 1 article features images from this case 14 public playlist includes this case Your doctor is likely to start with a medical history and thorough physical examination. Mri is sensitive, but nonspecific, for diagnosis.

Guillain Barre Syndrome Spine Mri Of A 38 Year Old Iranian Female With Download Scientific Diagram
Guillain Barre Syndrome Spine Mri Of A 38 Year Old Iranian Female With Download Scientific Diagram from www.researchgate.net
Its signs and symptoms are similar to those of other neurological disorders and may vary from person to person. Sagittal and axial post contrast t1 fs images shows smooth thickening and abnormal enhancement of the cauda equina and the ventral nerve roots. Mri is sensitive, but nonspecific, for diagnosis. The diagnosis is usually established on the basis of symptoms and signs, aided by cerebrospinal fluid findings and electrophysiologic criteria. Clinical presentation is usually characterized by rapidly progressive, ascending, and symmetric paralysis of the extremities. Scott olson / staff / getty images Your doctor is likely to start with a medical history and thorough physical examination. It is the most common cause of rapidly progressive flaccid paralysis.

On csf analysis, the cell count is normal in 85% of patients, and high protein values are seen in 64%.

On csf analysis, the cell count is normal in 85% of patients, and high protein values are seen in 64%. Sagittal and axial post contrast t1 fs images shows smooth thickening and abnormal enhancement of the cauda equina and the ventral nerve roots. Clinical presentation is usually characterized by rapidly progressive, ascending, and symmetric paralysis of the extremities. Fisher syndrome, a clinical variant of guillain­ barre syndrome characterized by ataxia, are­ flexia, and ophthalmoplegia, brain stem lesions have been described with cranial mr.imaging (8). Typically, both sides of the body are involved, and the initial symptoms are changes in sensation or pain often in the back along with muscle weakness, beginning in the feet and hands, often spreading to the arms and upper body. Mr imaging findings in eight patients (three male, five female; With treatment, people may improve more quickly. However, it can reveal nerve root enhancement and may be an effective diagnostic adjunct. Your doctor may then recommend: The most common result is a weakness and numbness that starts at the tips of the fingers and toes and spreads inward toward the body. Moreover, gbs is also associated with any vaccination. Mri is sensitive, but nonspecific, for diagnosis. Immune checkpoint inhibitors (icis) have been increasingly used in the treatment of various types of tumors with favorable results.

Immune checkpoint inhibitors (icis) have been increasingly used in the treatment of various types of tumors with favorable results. With treatment, people may improve more quickly. Fisher syndrome, a clinical variant of guillain­ barre syndrome characterized by ataxia, are­ flexia, and ophthalmoplegia, brain stem lesions have been described with cranial mr.imaging (8). It is characterized by a triad of ophthalmoplegia, ataxia, and areflexia. Typically, both sides of the body are involved, and the initial symptoms are changes in sensation or pain often in the back along with muscle weakness, beginning in the feet and hands, often spreading to the arms and upper body.

Guillain Barre Syndrome Associated With Central Nervous System Lesions Archives Of Disease In Childhood
Guillain Barre Syndrome Associated With Central Nervous System Lesions Archives Of Disease In Childhood from adc.bmj.com
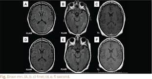
Cerebral magnetic resonance imaging showed lesions in both frontal and right occipital lobes. Mri is sensitive, but nonspecific, for diagnosis. During a course of intravenous immunoglobulin therapy, she had headache with meningism. The most common result is a weakness and numbness that starts at the tips of the fingers and toes and spreads inward toward the body. Mr imaging findings in eight patients (three male, five female; 1 article features images from this case 14 public playlist includes this case Although no abnormalities were observed on brain and spinal magnetic resonance imaging and electroencephalography, peripheral nerve conduction velocity tests failed to evoke motor and sensory nerve action potentials. Typically, both sides of the body are involved, and the initial symptoms are changes in sensation or pain often in the back along with muscle weakness, beginning in the feet and hands, often spreading to the arms and upper body.

The severity on mri does not correlate with severity of the clinical condition.

Typically, both sides of the body are involved, and the initial symptoms are changes in sensation or pain often in the back along with muscle weakness, beginning in the feet and hands, often spreading to the arms and upper body. Sagittal and axial post contrast t1 fs images shows smooth thickening and abnormal enhancement of the cauda equina and the ventral nerve roots. The diagnosis is usually established on the basis of symptoms and signs, aided by cerebrospinal fluid findings and electrophysiologic criteria. Both ms and gbs are autoimmune. The severity on mri does not correlate with severity of the clinical condition. Although no abnormalities were observed on brain and spinal magnetic resonance imaging and electroencephalography, peripheral nerve conduction velocity tests failed to evoke motor and sensory nerve action potentials. On csf analysis, the cell count is normal in 85% of patients, and high protein values are seen in 64%. Mri is sensitive, but nonspecific, for diagnosis. It is the most common cause of rapidly progressive flaccid paralysis. The most common result is a weakness and numbness that starts at the tips of the fingers and toes and spreads inward toward the body. The study findings are published in the journal neurological research. 1 article features images from this case 14 public playlist includes this case Mr imaging findings in eight patients (three male, five female;